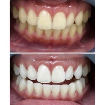
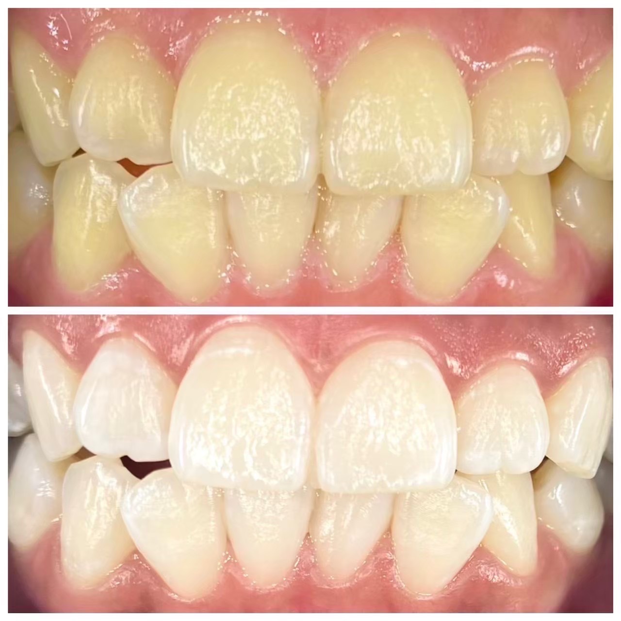
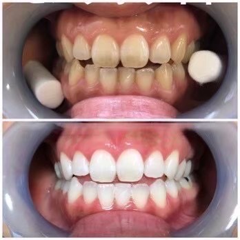
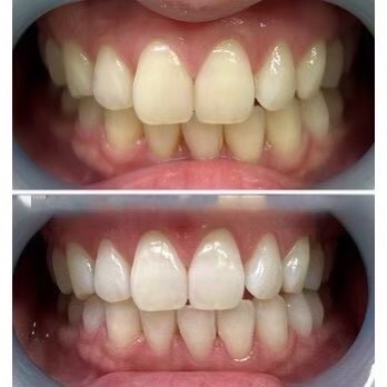
ホワイトニング

美容・医療ホワイトニングどちらもできます。

ホワイトニングは福岡天神店のみです。

スタンダード価格、体験価格
ホワイトニングコース料金

美容・医療どちらもできます。

寝た状態で行いますので唾液が出にくいです。

歯のホワイトニング

美容ホワイトニング

医療ホワイトニング

医療用は専門のジェルを購入していただきます。